作为中国重症超声研究组(CCUSG)成员单位,我院重症医学科成熟开展了重症护理超声技术。该技术凭借其无创、实时、动态、无辐射、可重复性等优点,在重症患者的动静脉穿刺、胃肠功能评估、肺部检查、鼻空肠管置入等方面发挥了重要作用,成为了重症医务人员的一双“慧眼”。
动静脉穿刺置管
超声引导下动静脉置管穿刺可动态观察患者血管,有利于定位穿刺和引导穿刺。部分患者由于长期输液、肥胖、水肿等原因,导致外周静脉条件较差,血管穿刺困难,此时选用超声引导进行血管评估、穿刺,可快速有效建立静脉通路,让护士成为扎针“神枪手”。
胃肠道监测
重症护理超声导向的胃肠功能评估有助于指导重症患者肠内营养的安全,实施胃肠功能评估,包括胃残余量、胃动力、胃排空情况和肠蠕动度等多项内容,从而优化营养治疗方案,避免反流误吸和营养不足等情况。
超声引导下鼻空肠管置入
肠内营养治疗对于重症患者来说十分重要,对于胃排空障碍的患者,幽门后喂养可降低反流与误吸的发生率,增加患者对肠内营养的耐受性。传统置管方法,置管成功率低,而通过超声引导置入鼻空肠管能有效提高置管成功率,保证肠内营养的及时供给,减轻置管操作引起的不适,使患者得到最佳护理治疗。
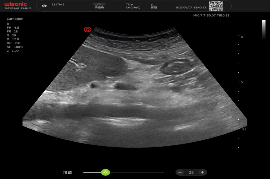
肺部超声
肺部超声可以在床边进行操作,是一种没有辐射、没有创伤,且不要求患者憋气的检查方法。可以多方位、多角度实时动态反复检查,进而在超声机上呈现不同的图像。通过分析,对疾病做出判断。对需要监护的病人来说,非常便捷,可以实时观察、对比治疗效果,提高了重症患者的救治水平和护理能力。
治疗前肺部超声

治疗后肺部超声

在重症超声的道路上,理论与实践齐头并进,重症医学科护理团队将努力完善重症超声的各项新技术,不断提升医疗护理质量,更好地为重症患者的健康保驾护航。