搜索

新闻中心

医院新闻
首页 > 新闻中心

MRA技术 让脑血管疾病无处可逃

发布日期:2024-02-04 11:06:37
文章来源:影像科     作者:程 稳     编辑:刘 练     一审一校:刘 练     二审二校:康龙山 谢仁香 宋冰清 顾姣 屈娟 杨胜丽     三审三校:康龙山 谢仁香 宋冰清 顾姣 屈 娟 杨胜丽     浏览量:1589

磁共振血管成像是磁共振应用技术的一种,可分为动脉血管成像和静脉血管成像。贵医大三附院影像科运用全球首款西门子5G磁共振——Mica,开展了不打造影剂头颈部动脉联合MRA(磁共振动脉血管成像),采用3D-TOF技术,利用流入增强效应扫描动脉血管序列,分别扫描头部、颈部、主动脉弓三段,用拼接技术完成全头颈部血管成像,是头颈血管疾病筛查的重要手段。

其优势是对颅脑和颈部的大血管显示效果更好,对软组织的分辨率高,无造影剂毒性,不会发生造影剂过敏。

该项技术通过最大密度投影(MIP)法还能够清晰呈现患者头颈部动脉血管与周围组织的空间关系,可发现血管狭窄和闭塞的部位,对软斑块纤维帽有优势,对有无血栓及出血性疾病、脑动脉瘤和脑血管畸形进行初步诊断和评估。

此项技术为临床提供了头颈部动脉血管影像,且覆盖范围广,无需使用对比剂就可以使血管成像,特别是对碘剂过敏者和年老体弱不能耐受有创检查者极具优势。如果想排除自己是否患有头颈部血管疾病,可按照检查注意事项并配合医生躺在检查床上5-10分钟,即可完成筛查。 

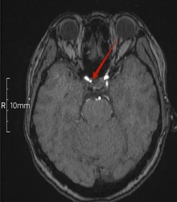
病例展示

患者李女士,女,44岁,反复头晕2年多,在我院行头颈联合3D-TOF-MRA筛查,发现右侧颈内动脉C7段2.5mm微小动脉瘤。

DSA证实微小动脉瘤

重要提醒:有抽烟、酗酒、经常熬夜、劳累、高血压等情况的人群,易患血管疾病,有必要定期做头颈部血管筛查,在有不适症状时更要及早到医院做相关检查。