近日,我院成功为王爷爷(化名)开展了黔南州首例手术机器人辅助下颅内血肿清除术。
原来,11月21日23:30分左右,一辆从凯里出发的载有70岁脑出血患者的救护车紧急停在我院急诊医学科门前,早已在此等候的神经外科团队、影像科团队迅速将患者转入CT室。


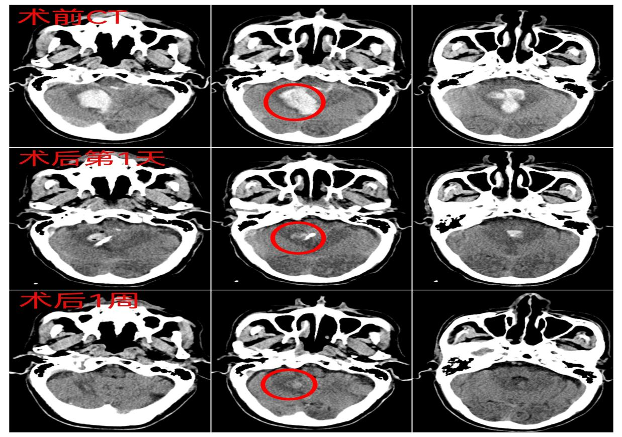
“该患者右侧小脑出血并破入脑室系统,出血量约12ml左右,头颈联合CTA已排除颅内动脉瘤破裂。”伴随着影像科主任康龙山明确的影像诊断,神经外科副主任王勇带领科室团队迅速将患者王爷爷送至病房。
结合王爷爷病情,在王勇组织科室团队开展术前讨论和周密的术前准备后,决定给王爷爷行“手术机器人辅助下颅内血肿清除术”。


在麻醉科手术室的密切配合下,这台在手术机器人辅助下的微创手术,用时不到1小时,便顺利完成。术中抽出暗血性血凝块约10ml,切口约1cm。
术后第一天复查头颅CT,提示王爷爷颅内血肿基本清除,未见明显迟发性颅内出血。
术后一周复查头颅CT,提示颅内血肿已吸收,王爷爷在家人的辅助下,下床进行康复训练。

王爷爷恢复良好,现已出院。王爷爷的家人激动地说:“原来手术还能这么做!效果我们很满意,非常感谢你们!”


出院之际,特送上手写的感谢信表达感激。

王勇介绍,传统手术微创化,微创手术智能化是神经外科的追求。我院机器人设备的加入,可实现一次置管、精度可控、直达病灶。不仅避开了开颅可能造成的大面积创伤,也降低了血肿腔置管位置摆放不到位、引流效果差、造成新损伤等并发症的发生,还减轻了患者痛苦。
该手术的成功开展,标志着我院对自发性颅内出血患者的救治能力大大提升,也为脑肿瘤、帕金森、癫痫等患者的治疗提供了新的选择,更标志着神经外科手术向精准化、智能化迈进。