搜索

新闻中心

医院新闻
首页 > 新闻中心

靶向+免疫强强联手 为肝癌患者带来新希望

发布日期:2022-01-29 20:26:05
     编辑:宣传科     一审一校:宣传科     二审二校:宣传科     三审三校:宣传科     浏览量:3027


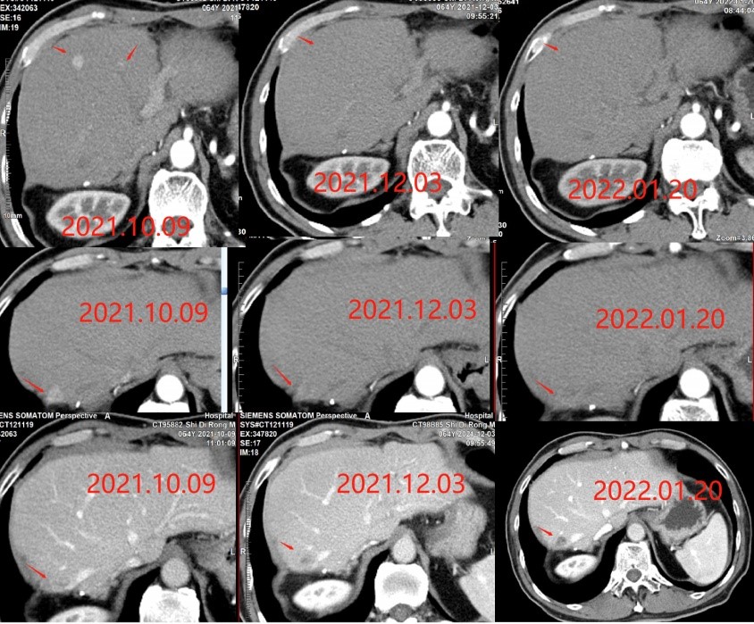
近期,贵医三附院肿瘤科开展了“靶向免疫联合治疗肝癌”新技术,为肝恶性肿瘤患者带来生命新希望。

患者史先生患肝癌晚期,辗转多家医院治疗未果后到我院肿瘤科就诊。入院后,科室负责人、副主任医师王俊带领肿瘤科团队为史先生进行详细诊查,发现他是未接受系统治疗的转移性肝细胞性肝癌,具有靶向免疫联合治疗的适应症。

肿瘤科为史先生进行多个疗程靶向+免疫联合治疗后,影像资料显示:肝脏部分病灶消失,部分病灶强化减弱。史先生生活质量得到提高,临床症状明显好转。

我院肿瘤科在肿瘤治疗方面有着丰富的临床经验,医生根据肿瘤病理类型、分期、免疫治疗生物标志物、基因检测及患者PS评分等方面综合分析,制定科学合理、切实可行的治疗方案,提高患者生活质量,延长患者生存时间。


健康科普

肿瘤分子靶向治疗是在细胞分子水平上,针对已经明确的致癌位点(该位点可以是肿瘤细胞内部的一个蛋白分子,也可以是一个基因片段),使用相应的治疗药物,药物进入体内会特异地选择致癌位点相结合发生作用,使肿瘤细胞特异性死亡,不会波及肿瘤周围的正常组织细胞,所以分子靶向治疗又被称为“生物导弹”。

肿瘤免疫治疗是指通过激活体内的免疫细胞和增强机体抗肿瘤免疫应答,特异性地清除肿瘤微小残留病灶、抑制肿瘤生长,打破免疫耐受的治疗方法。肿瘤免疫治疗是要克服肿瘤免疫逃逸机制,重新唤醒免疫细胞来清除癌细胞。

肿瘤科医护人员本着以“病人为中心”的原则,竭诚为广大患者提供优质服务。

肿瘤科电话:0854-833876924小时服务)

王医生电话:185 8515 6667