搜索

健康宣教
首页 > 专题专栏

带你了解支气管镜检查那些事,看完就不慌了!

发布日期:2022-02-25 16:15:43
     编辑:宣传科     一审一校:宣传科     二审二校:宣传科     三审三校:宣传科     浏览量:5626

说起胃肠镜,大多数人都是比较熟悉的,但说起支气管镜,对很多人而言还是很陌生的。随着现代呼吸病学的迅速发展,支气管镜检查已成为呼吸系统疾病常见的检查手段,具有准确性高、费用低、并发症少等特点。下面带你去了解支气管镜检查的那些事儿。

一、支气管镜是什么?

支气管镜是一种带有光源和镜头的软镜,一般从鼻腔置入,通过咽喉、会厌、声门进到气管及细支气管,用来进行肺和气管、支气管病变的诊断和治疗一项检查。

二、支气管镜检查有哪些适应症呢?

1. 不明原因的咳嗽  支气管镜对于诊断支气管结核、异物吸入及气道良恶性肿瘤等具有重要价值。

2.不明原因的喘鸣或局限性哮鸣音  支气管镜有助于查明气道阻塞的原因、部位及性质。

3.不明原因的咳血或痰中带血  支气管镜检查有助于明确出血原因和出血部位。

4.不明原因的声音嘶哑  可能因喉返神经受累引起的声带麻痹和气管内新生物等所致。

5.痰中发现癌细胞或可疑癌细胞。

6. X线胸片和(或)胸部CT检查异常者  包括肺不张、肺部结节或团块影、阻塞性肺炎、炎症吸收不理想、肺部弥漫性病变、肺门或纵隔淋巴结肿大、气管支气管狭窄以及原因未明的胸腔积液等异常改变者。

7.肺部手术前检查,对于指导手术切除部位、范围及估计预后有参考价值。

8.胸部外伤、怀疑有气管支气管裂伤或断裂。

9. 肺部或支气管感染性疾病的病因学诊断。

10.清除气道内异常分泌物。

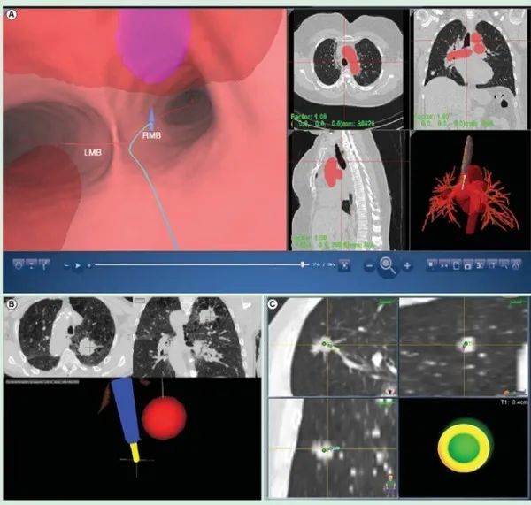
11. 取出气道异物、镜下治疗(电切电凝、冷冻、球囊扩张、粘膜下注药、光动力治疗、良恶性气道狭窄气管支架置入,气管食管瘘、气管胸膜瘘、胆道胸膜瘘封堵术等等)。

三、支气管镜检查前患者需要什么准备?

■支气管镜检查是一种比较安全、痛苦不大的诊断方法,请不要紧张。

■检查前6小时内不要进食或饮水,以免发生误吸。

■高血压、糖尿病患者将血压、血糖控制在理想范围内。

■对于长期口服抗凝药物的患者需提前停用抗凝药物5-7天。

■有假牙者取下妥善保管。

四、支气管镜有危险吗?

支气管镜检查是一项比较安全、并发症出现几率比较低的检查,但风险是存在的,术前医生会进行详细的术前评估及准备,所以不必过分担忧。

五、支气管镜检查需要多久?

常规支气管镜检查一般需要20-30分钟即可完成。如果要进行某些特殊检查或治疗,时间可能延长。

六、做支气管镜检查痛苦吗?

采用的都是无痛支气管镜检查,提高患者舒适度、减少患者痛苦,在麻醉科医生的配合及严密观察下,患者在睡梦中即可安全、有效的完成气管镜检查。

七、支气管镜检查术后需注意什么?

■ 术后2小时后可试行进水,如果无呛咳方可进食,以低温清淡软食为宜。

■ 术后可能会出现声音嘶哑、咳嗽、咽喉疼痛、少量咯血等情况,无需紧张,一般症状会自行减轻,若出现发热、大量咯血,请及时报告医护人员

                                                 来源:呼吸学术在线