搜索

健康宣教
首页 > 专题专栏

快看!贵医大三附院医学影像科也可以挂号、检查、答疑……

发布日期:2022-06-08 23:17:47
     作者:康龙山 文庆伦     编辑:谢仁香     一审一校:谢仁香     二审二校:姚辉     三审三校:姚辉     浏览量:4353

贵医大三附院沙坝院区医学影像科开设门诊,为患者提供挂号、登记、检查、出具报告、解答疑问等医疗服务。还有以下特色医疗服务哦:

特色服务一

对无法做胃镜、肠镜检查的患者,可提供无创的肠道仿真内窥镜CT检查。

图为 CT仿真内窥镜检查案例

显示乙状结肠壁内有肿块形成,为早治疗提供影像基础

特色服务二

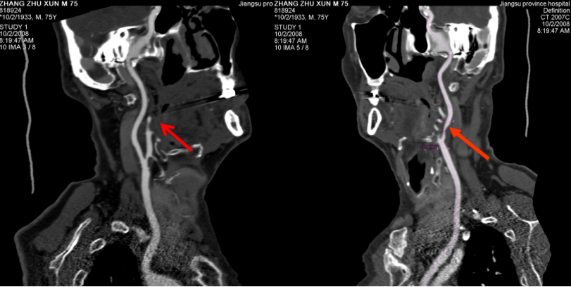
对经常“头昏、头痛”且既往无高血压疾病的患者,可提供头颈部CTA检查,从而早期发现是否有头颈部血管硬化、狭窄及畸形等问题导致头昏、头痛。

图为颈动脉CTA提示颈动脉粥样硬化斑块形成案例

图为脑血管畸形案例

特色服务三

专业医师面对面会诊,同质化影像诊断。医师与患者面对面进行交流,为就诊者作出必要的影像检查选择,详细了解其病史并结合临床其他检查,为就诊者提供专业的影像诊断报告,同时解答就诊者对影像报告的疑问,给出专业指导。

对于患者就诊时提供的院外或疑难影像资料(平片、CT、磁共振等)进行诊断,助力各级医疗机构形成影像技术规范化、同质化的协作体系,减少就诊者重复检查。

图为沙坝医学影像科专家为患者同质化阅片解答疑惑

特色服务四

针对长期接触大量粉尘(如石棉、滑石、陶土、煤矿、水泥、砂石等)职业者,医学影像科为他们提供精准的肺部结节筛查。

该检查还可以为肺部肿瘤小结节早期诊断提供强有力的帮助。

图为肺部低剂量结节人工智能体检筛查

特色服务五

冠脉CTA的临床主要应用于确诊冠脉粥样硬化性心脏病、冠脉先天变异、冠脉支架术后复查、冠脉旁路移植术后复查。一站式扫描解决急性胸痛同时,评估心功能。

冠脉CTA的优势在于无创、无需插管、操作简便,不需住院方可检查。不仅仅能显示管腔的狭窄,还能显示斑块的大小、形态,灵敏度、特异度、准确度达90%以上。因此,在临床上实用性极佳。

图为无痛冠脉CT造影案例

可直观清晰区分心脏有无血管粥样硬化、狭窄、血栓形成等

咨询电话:0854-8335085

0854-8513312