搜索

新闻中心

医院新闻
首页 > 新闻中心

贵医大三附院用这个方法,让晚期肺癌患者的肿瘤明显缩小

发布日期:2022-09-13 11:48:00
文章来源:肿瘤科     作者:陆启丽     编辑:顾姣     一审一校:顾姣 王俊     二审二校:杨胜丽     三审三校:屈娟     浏览量:2379

今年60岁的魏先生(化名),因“咳嗽、咳痰、胸痛、呼吸困难3月”到我院肿瘤科就诊。入院后,诊断为无驱动基因突变的晚期肺癌,具有化疗免疫联合治疗的适应症。

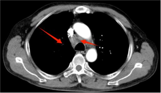
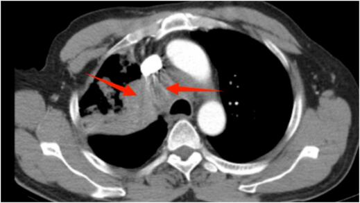
肿瘤科负责人、副主任医师王俊带领团队为魏先生行免疫治疗联合化疗后,影像资料显示肺部及纵隔病灶明显缩小,让魏先生的生活质量得到明显提高,临床症状完全消失。

治疗前


治疗后

我院肿瘤科在恶性肿瘤的规范化疗治疗方面有丰富的临床经验,会根据肿瘤病理类型、分期、免疫、基因检测及患者PS评分等方面综合分析,制定科学合理、切实可行的治疗方案,对提高肿瘤患者生活质量、延长肿瘤患者生存期具有重要意义。

健康科普:肺癌早筛知多少

高危人群:40岁以上,有肺癌家族史、有长期吸烟史者。

筛查方法:建议每年做一次低剂量CT筛查肺癌。

筛查建议:40岁以上吸烟指数大于等于400(吸烟指数=每天吸烟支数*吸烟年数),戒烟时间小于15年,慢阻肺弥慢性纤维化,肺癌家族史。每年一次低剂量螺旋CT。

肿瘤科咨询电话:0854—8338769