搜索

新闻中心

医院新闻
首页 > 新闻中心

对症找科室 就医不迷路:超声科

发布日期:2022-09-27 15:31:46
文章来源:超声科     编辑:宋冰清     一审一校:宋冰清 龙世武     二审二校:杨胜丽     三审三校:屈娟     浏览量:2826

超声科现已建设成为一个设备齐全、业务项目广泛并独具特色的科室。科室旨在培养一批专业技术能力高、爱岗敬业、热爱医院、与时俱进、科学观念强的优秀人才。目前科室团队拥有工作人员12人,副主任医师2人,主治医师2人,住院医师6人,护士2人,整体具备较强的技术力量。

科室设备亮点:全科共拥有9台高端彩超诊断仪,其中包括目前市场上较为先进的胎儿产前筛查专用高端彩超诊断仪GE -E10,为科室超声诊断奠定了获取高清图像质量的基础。

                                                    科室特色诊疗项目

1.胎儿系统产前筛查——即人们常说的“大排畸”,是应用高分辨率的彩色多普勒诊断仪对胎儿进行全身系统的畸形筛查及诊断。其主要目的是为了检查胎儿是否患有重大畸形,对胎儿的大脑、颜面部、心脏、腹部、四肢等结构进行逐一筛查。

2.介入超声:是指在超声仪器的引导下,实时监控将穿刺针或导管精确的插入到人体各病变器官或组织内,进行各种诊断和治疗的技术。其优点是无需开刀,避开大血管、重要脏器,创口小,术后恢复较快,不仅能实时显像,且无射线辐射伤害。

3.血液透析动静脉造瘘术前和术后的血管评估及配合临床行超声引导下内瘘血管球囊扩张术:术前超声可对动、静脉血管的管径、管壁情况、管腔通畅与否、走行状况、有无畸形变异及位置、有无侧支及其位置、血管扩张能力、对动静脉距离给临床诊疗提供依据。术后可对造瘘血管及瘘口有无狭窄、有无血栓形成及血管闭塞、有无窃血综合征、有无静脉瘤样扩张进行评估,以便给临床提供进一步的诊疗依据。

4.床旁超声检查、术中超声精确定位、术中超声临床操作引导等便携式超声,为保障病人医疗安全提供更便捷的人性化超声服务。

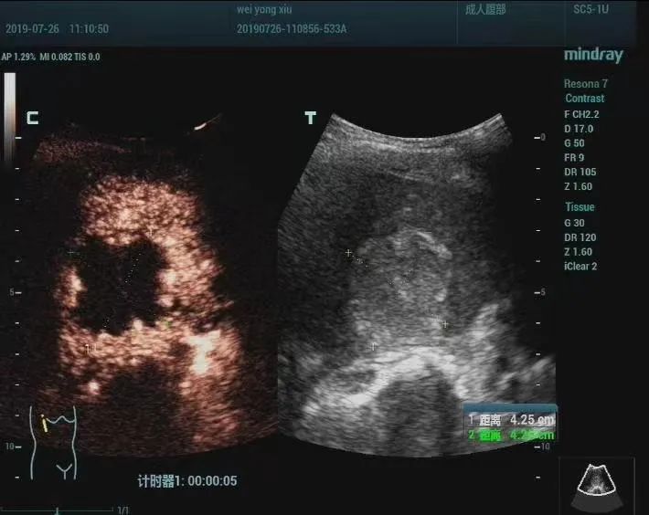
5.超声声学造影及三维、四维立体成像技术——超声声学造影被誉为“无创性微循环血管造影”,具有高准确性、高安全性、操作简便、重复性好的特点。适应症:①肿瘤定性(良、恶)诊断;②微小病灶早期发现;③介入治疗后的疗效评估。二维是平面成像,三维是立体成像,四维是三维加上时间的维度,即动态的三维,通过表面成像模式、骨骼成像模式、血管成像模式等由计算机进行三维重建。

咨询电话:平桥超声科0854-8329978

            沙坝超声科0854-8322071