搜索

新闻中心

医院新闻
首页 > 新闻中心

与死神较量!我院成功抢救脑出血患者

发布日期:2022-12-22 08:15:47
     作者:徐瑞春     编辑:顾姣     一审一校:顾姣 王勇     二审二校:刘兴贵     三审三校:屈娟     浏览量:2314

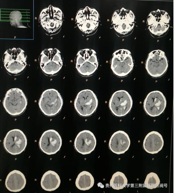
12月13日,随着“120”急促的警报声由远及近,一位年过七旬、突发意识障碍的老人被紧急送入我院神经外科。患者入院时已发病7个多小时,神志呈浅昏迷状,右侧肢体在刺痛状态下仍不能动,左侧肢体在刺痛下可回缩。入院头颅CT提示“左侧背侧丘脑——基底节区脑出血并破入脑室,血肿量约30ml,周围水肿带形成,轻度脑疝形成”,双侧瞳孔正圆等大,直径约1.5mm,对光反射迟钝,右侧巴宾斯基征阳性。因患者系基底节区脑出血并破入脑室,病情危重,需降低其颅内压,调整血压,给予对症支持治疗。并急需行手术,用以清除血肿减压,避免脑疝进一步损伤脑组织。神经外科副主任、副主任医师王勇团队为患者行内镜下左侧基底节区血肿外引流术+硬脑膜修补术+颅骨修补术+右侧侧脑室穿刺血肿外引流术+气管切开术。手术顺利。据了解,该手术属于四级手术,我院神经外科已常规开展。

术前头颅CT

术中清除血肿

术后复查头颅CT:颅内血肿基本清除

术后第七天,患者意识逐渐好转,左侧肢体可自主活动,能配合医师完成相关动作,右侧肢体在刺痛状态下可水平移动。目前患者仍在神经外科康复治疗中。

术后查房




作     者:徐瑞春

编     辑:谢仁香

一审一校:王  勇

二审二校:谢仁香 杨胜丽

三审三校:屈   娟