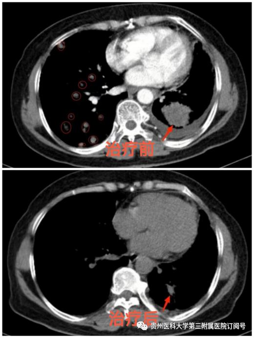
近日,我院肿瘤科利用靶向药物治疗,成功为一位肺腺癌晚期患者抑制住癌细胞的扩散,让患者的生活质量得到了明显的改善。去年9月,54岁的黄女士因咳嗽、咳痰、胸痛、胸闷及呼吸困难1个多月当地就诊,胸部CT提示左肺占位,为进一步诊断,遂到我院就诊。肿瘤科副主任、副主任医师王俊带领团队为黄女士进行详细诊查,认真分析,确诊为左肺恶性肿瘤 (IV期)。该患者为驱动基因突变,与患者及其家属商量,决定行靶向药物治疗。
功夫不负有心人,经过肿瘤科的精心治疗和悉心护理,黄女士咳嗽、咳痰、胸痛、胸闷及呼吸困难已基本缓解,复查胸部CT提示多处病灶均较前明显缩小,精神状态明显好转。


我院肿瘤科在恶性肿瘤治疗方面有着丰富的临床经验,专家会根据肿瘤病理类型、分期、免疫检测生物标志物、基因检测及患者PS评分等方面综合分析,制定科学合理、切实可行的个体化治疗方案,从而提高患者生活质量。
王医生:185 8515 6667