搜索

新闻中心

医院新闻
首页 > 新闻中心

靶向药物治癌显疗效

发布日期:2023-06-15 08:28:09
     作者:陆启丽     编辑:顾姣     一审一校:顾姣 王俊     二审二校:谢仁香 宋冰清 顾姣     三审三校:杨胜丽     浏览量:1704

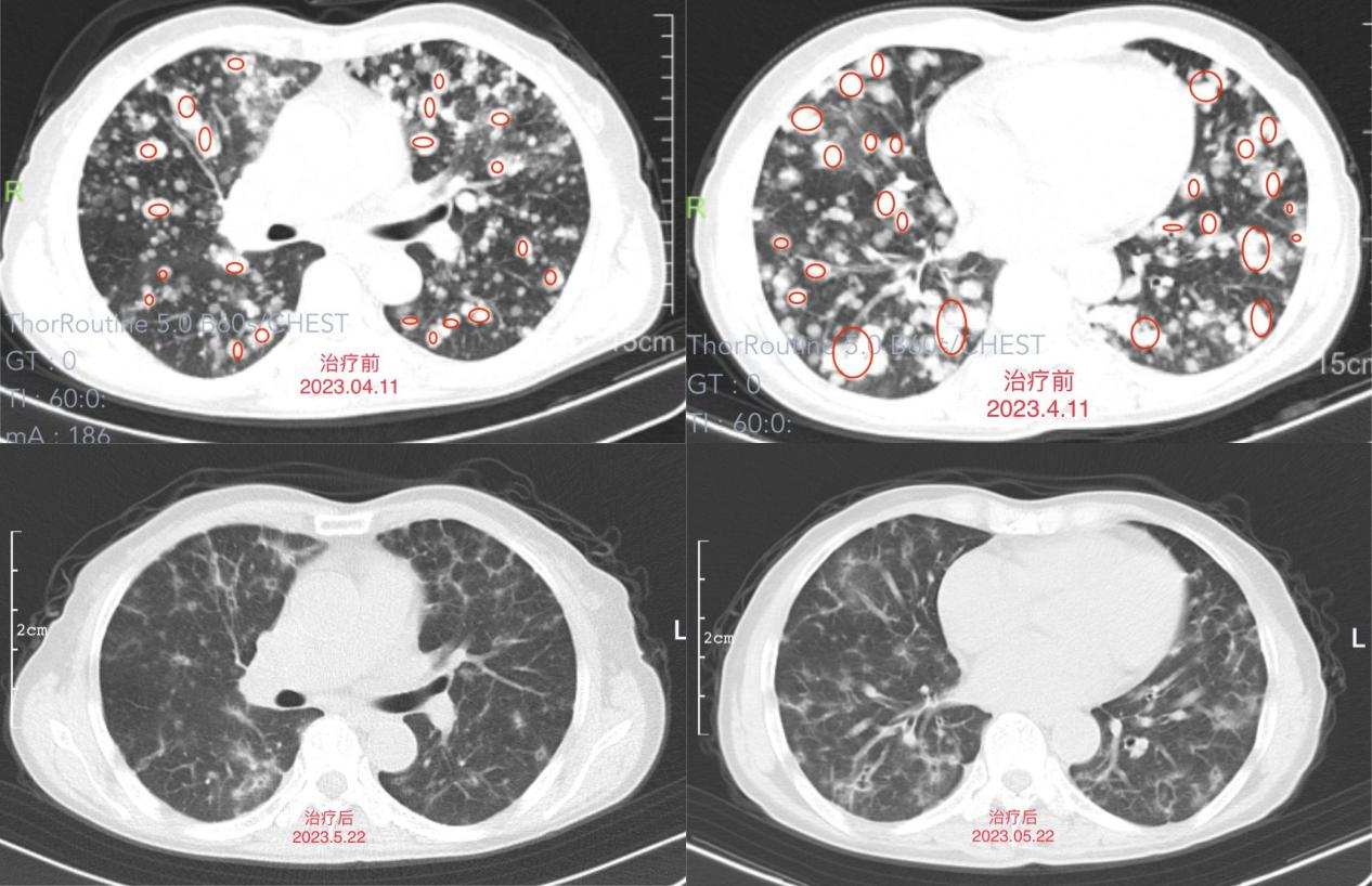
近期,我院肿瘤科收治一位“咳嗽、咳痰,痰中带血1个多月”的患者李阿姨。入院时李阿姨生活不能自理,情绪低落。行辅助检查后诊断为:右肺腺癌 ROS1(+)(IV期)。

肿瘤科副主任、副主任医师王俊组织科室团队讨论治疗方案,结合李阿姨病情及肺癌最新诊疗指南,选择口服分子靶向精准治疗。

经口服靶向药物1个月后李阿姨咳嗽、咳痰及痰中带血等临床症状基本改善,复查胸部CT结果提示肺部病灶及纵隔淋巴结较前缩小,李阿姨的生活质量明显提升。

我院肿瘤科在恶性肿瘤治疗方面有着丰富的临床经验,根据肿瘤病理类型、分期、免疫检测标志物、基因检测及患者PS评分等方面综合分析,制定科学合理、切实可行的个体化治疗方案,让肿瘤患者提高生活质量,延长生存时间。


咨询电话

肿瘤科:0854-8338769

王医生:185 8515 6667