
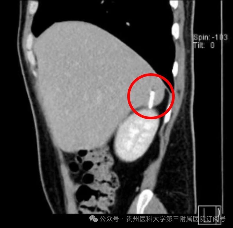
在为王先生完善了相关检查后,刘兴贵凭借着丰富的临床经验,确定了金属异物位于肝脏且毗邻肾脏处。由于肝脏血管丰富,易出现大出血情况,且金属异物在肝脏内容易游走,一旦进入肾脏,后果将不堪设想。肝胆外科经过充分讨论后,结合王先生的病情及需求,决定为王先生施行腹腔镜下肝脏异物取出术。

术中,刘兴贵带领肝胆外科团队,凭借扎实的解剖学基础、精湛的手术技巧、丰富的临床经验,成功完整取出金属异物——生锈的金属针。术中出血极少,且未切除患者的肝脏组织,解决了王先生的困扰。
术后,王先生恢复良好,已出院。