搜索

新闻中心

医院新闻
首页 > 新闻中心

房颤??找它!

发布日期:2024-12-18 18:52:00
文章来源:影像科     作者:梁犇     编辑:谢仁香      一审一校:谢仁香 康龙山     二审二校:宋冰清 顾姣     三审三校:杨胜丽 屈娟     浏览量:801
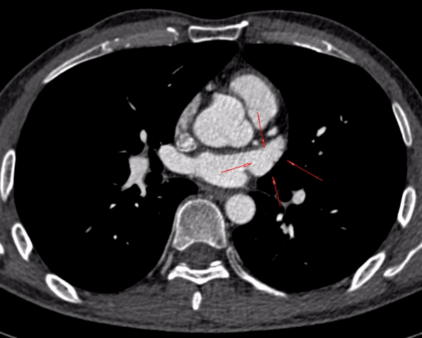
       近日,我院影像科为患者胡先生进行左心房-肺静脉CT造影检查时,精准发现左心耳存在血栓。这一及时发现不仅有效识别出胡先生身体的潜在异常,也为临床医生及时干预房颤可能引发的脑梗提供了可靠的诊疗依据。

       60岁的胡先生,有房颤的病史,最近感到呼吸困难、头晕,到我院检查。

       医务人员在为胡先生行左心房-肺静脉CT造影检查时,看到他的左心耳见斑片状充盈缺损,形象地说就像“鸡翅”缺了一块。这就是典型左心耳血栓的表现。

正常做左心耳在CT造影上形态为鸡翅型最为常见


       左心房-肺静脉CT造影检查主要针对房颤患者,了解其左心耳大小,是否有血栓,判断栓塞风险等。这项检查通过精确的时相控制及相关图像后处理技术,不仅可以很好地展示肺静脉及左心系统的解剖结构,还可以发现腔室的形态学改变,观察左心耳有无血栓,亦可为射频等医疗操作提供直观的影像学信息。

什么是房颤

       房颤是临床极为常见的心律失常。正常心跳是60-100次。房颤的时候,左心房跳动350-550次,频率太快了就是颤抖的状态,没有了收缩功能。有房颤的病人脑梗塞的可能增加5倍。
       房颤的时候血流是慢的,把左心房比做一条河,左心耳就像这条河旁边的小池塘,河里的脏东西就会积在这个池塘里,房颤的时候,血都在这里回旋,所以很容易形成血栓,随着这个血栓越来越大,心房抖动顺着主动脉到全身,引起心肌梗死、四肢动脉栓塞,甚至引发脑栓塞。
       因此,房颤的治疗刻不容缓。目前射频消融+左心耳封堵术是常用的疗手段。那么在术前行左心房-肺静脉造影也十分重要。
       我院影像科开展的左心房-肺静脉CT造影成像检查技术,能为房颤患者在术前进行精准的影像筛查,从而为后续治疗方案的科学制定提供极为关键且可靠的依据,有力地推动我院在心血管疾病诊疗领域的技术发展迈向新的高度,为广大房颤患者带来更优质的医疗服务。