搜索

新闻中心

医院新闻
首页 > 新闻中心

纸短情长 字字情深

发布日期:2025-01-03 20:08:00
文章来源:影像科     作者:吴泓霖     编辑:宋冰清     一审一校:宋冰清 康龙山     二审二校:谢仁香 顾姣     三审三校:杨胜丽 屈娟     浏览量:619

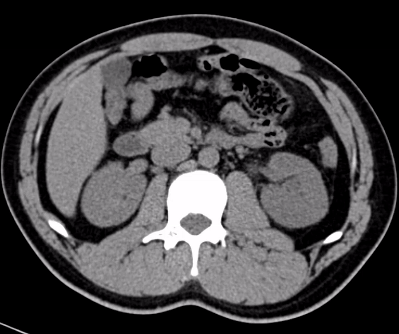
      近日,罗先生(化名)腹痛难耐到我院就诊,入院后,我院影像科主任康龙山和住院医师张光源认真细致地为他行 CT 检查,得到了罗先生的高度认可,便手写感谢信赠与影像科。

      影像科康龙山和张光源借着丰富的经验和敏锐的观察力,发现了罗先生左侧输尿管上段有结石。泌尿外科根据影像结果,立即制定出了针对性的治疗方案。经过精心治疗,罗先生体内的结石成功被清除,身体逐渐恢复了健康。罗先生康复后满怀感激之情,特意手写感谢信,以表达对影像科的感谢。