瘫痪患者遭遇 “石” 艰 他们巧破重重难关
发布日期:2025-04-23 19:19:00
文章来源:泌尿外科 作者:宋仕亨 编辑:宋冰清 一审一校:宋冰清 雷鸣 二审二校:顾姣 谢仁香 三审三校:杨胜丽 屈娟 浏览量:1470
当身体瘫痪后又遭遇结石
面对重重难关
↓↓↓
体位难
麻醉难
手术难
我院泌尿外科团队以精湛的技术和极大的耐心使出“绝招”,精准击碎顽石,为患者的生活重新点亮了希望之光。 49岁的张女士(化名),10多年前因一次意外导致身体瘫痪,从此失去了双下肢的痛觉和行走能力。6个月前出现左侧腰腹部疼痛,持续性胀痛,张女士未予以处理。最近因疼痛加重,排尿困难到我院就诊。
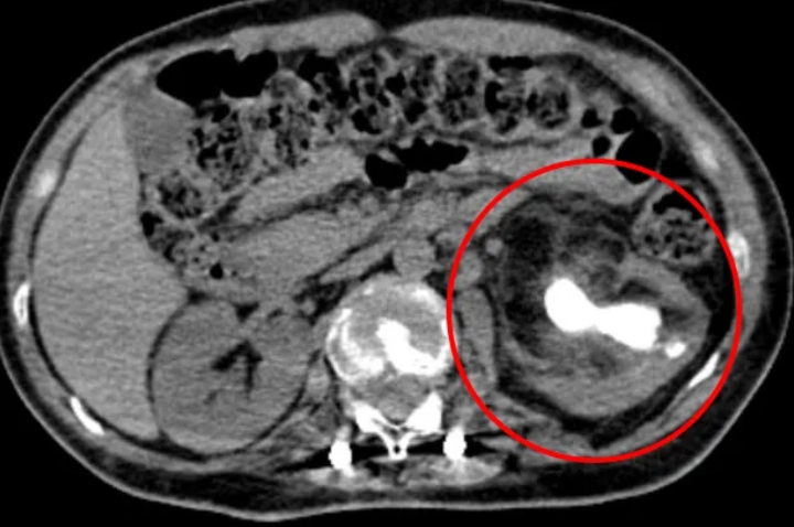
腹部CT检查显示,其左侧肾盂存在巨大结石,且伴有左侧肾盂积水和感染。若不及时处理,肾功能将面临进一步损害的风险。

(左侧肾盂巨大结石伴有左侧肾盂积水和感染)

传统手术方式(如经皮肾镜)因需穿刺肾脏,存在较高的出血风险。若行输尿管软镜手术,虽然是微创,但也有两个问题比较棘手。 手术体位是一个难点。张女士瘫痪、长期卧床,导致她双下肢严重畸形,髋关节僵直,无法摆出常规截石位,术中只能保持平卧或特殊固定姿势,这使得输尿管软镜难以通过自然弯曲的尿道和输尿管,增加了穿孔风险;肌肉萎缩进一步压缩手术空间,导致视野暴露困难,影响器械精准操作。 另一个难点是如何麻醉。由于张女士长期卧床,肺扩张能力差。手术麻醉既要保障患者呼吸循环稳定,又需满足手术需求,使得手术麻醉风险、难度系数增大。 如何一次性完全清除结石,又不给张女士增加额外负担? 面对这些挑战,我院组织了多学科MDT讨论,反复研究斟酌,对麻醉方式、手术体位、手术方式等,都做了精细安排,制定了周密的手术方案和应急预案。 术中,在麻醉医师严密监护下,泌尿外科团队为张女士实施了经尿道输尿管软镜左肾结石激光碎石取石术,借助全程影像导航探查无结石残留后,手术顺利结束。 泌尿外科副主任雷鸣介绍:“经自然腔道钬激光碎石是目前治疗泌尿系结石比较好的手术方式,经尿道插入电子软镜,进入输尿管、肾盂、肾盏镜下找到结石,用激光将结石碎至1-2毫米,再将碎石取出,手术微创化程度高,恢复较快。”
这场手术不仅是对技术的考验,更是对医者仁心的诠释。结石虽小,却能成为生命的绊脚石;卧床虽久,仍可重启健康的曙光。未来,我院将继续深耕医疗技术创新,以技术为刃,以仁心为盾,为广大患者提供精准、高效的诊疗服务!