双输尿管被结石 “锁喉”,肾功濒临“报废”,手术重获 “肾” 机
发布日期:2025-04-27 18:54:00
文章来源:泌尿外科 作者:宋仕亨 编辑:宋冰清 一审一校:宋冰清 雷鸣 二审二校:顾姣 谢仁香 三审三校:杨胜丽 屈娟 浏览量:1316
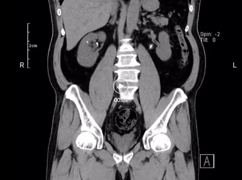
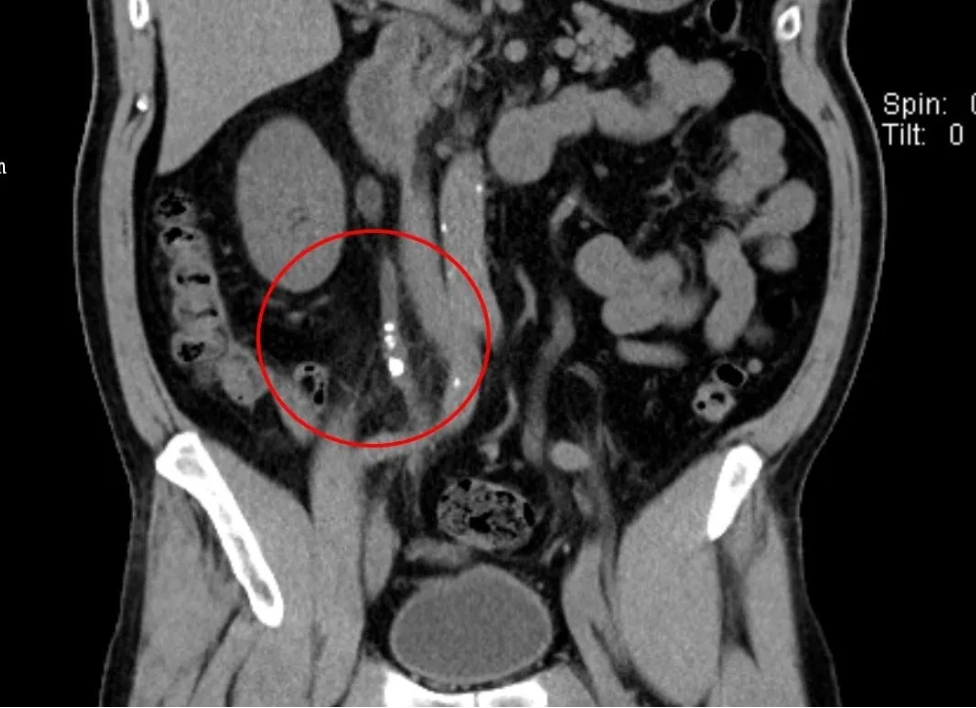
近日,我院成功为一名因双侧输尿管结石完全梗阻,导致急性肾功能衰竭的患者实施“双侧输尿管镜同期手术”,将患者肾功能从崩溃边缘拉回。经过精心治疗,患者肾功能已恢复正常,目前状态良好。60岁的谢先生,因突发右侧腰部绞痛到我院泌尿外科门诊就诊。经检查发现,谢先生双侧输尿管中段结石完全梗阻,这是典型的"石头堵死生命通道"!双肾出现重度积水,已达"红色警戒线"。肾盂扩张超3cm且皮质变薄。同时已发展为急性肾功能衰竭,肌酐值超过526μmol/L(男性正常值:54—106 μmol/L),尿素达18.1mmol/L(成人正常值:2.5—7.1 mmol/L)。
面对复杂的病情,我院泌尿外科副主任雷鸣迅速组织多学科会诊,经过详细讨论,科室团队一直认为,患者双侧输尿管结石和双肾积水是导致急性肾功能衰竭的主要原因,必须尽快手术解除梗阻,恢复肾脏功能。考虑到谢先生的肌酐值太高,为了稳定其内环境,先进行血液透析,再实施手术解除梗阻更妥。经过血液透析,使肌酐值降至300μmol/L,为后续手术争取了宝贵时间。为避免二次创伤,泌尿外科决定采用“双侧输尿管镜同期手术”方案,一次解决双侧梗阻。术前,通过CT三维重建技术精准定位结石位置,并根据透析后患者身体状况评估手术耐受性。术中,雷鸣带领泌尿外科团队为谢先生实施了经尿道输尿管软镜右侧输尿管激光碎石取石+经尿道输尿管硬镜左侧输尿管激光碎石取石术。运用双镜联合技术,超细输尿管硬镜与软镜协同操作,硬镜快速疏通近端梗阻,软镜处理肾盂残留结石;使用钬激光将双侧结石逐层粉末化,并通过负压吸出碎屑,有效避免术后“石街”形成;术后留置双侧双J管,保障输尿管通畅,促进肾功能恢复。
术后,谢先生当日便有尿液排出,24小时尿量超过2000ml。1周内,肌酐值降至200μmol/L,3周后肌酐完全正常,肾积水完全消退,也无需再次进行透析治疗,肾功能成功从“悬崖边”回归正常.

泌尿外科医生温馨提示:输尿管结石≠小问题!即使无症状结石,也需定期复查!
这些症状可能是结石梗阻信号
突发腰部剧痛(尤其双侧疼痛)。
尿量锐减或无尿。
恶心呕吐伴浮肿。
延误治疗的结果
肾功能不可逆损伤→ 尿毒症。
感染性休克(脓肾)。
高钾血症致心脏骤停。