搜索

新闻中心

医院新闻
首页 > 新闻中心

揭秘:藏在胆囊里的神秘石头

发布日期:2025-06-05 09:10:37
文章来源:肝胆外科     编辑:顾姣     一审一校:顾姣 杨波     二审二校:宋冰清 谢仁香     三审三校:杨胜丽 屈娟     浏览量:1509

胆囊结石是肝胆外科常见疾病之一,是指在胆囊内形成的结石,它们成分不同、形态各异。今天我们一起来聊聊藏在胆囊里的神秘石头。

形形色色的胆囊结石

1.按结石的成分分类。   

①胆固醇结石。长相:白黄、灰黄或黄色,形状大小不一,呈多面体、圆形或椭圆形,质硬表面多光滑,80%以上胆囊结石属于此类。

成因:胆汁中胆固醇过多、胆汁酸不足(高脂肪饮食、肥胖是帮凶)。

 

②胆色素结石。长相:黑褐色或棕色,质软松脆,有的像煤渣。

成因:胆道感染、溶血性贫血或肝硬化病人易发。

 

2.按结石的“身材”分类。

①泥沙样结石、小结石:像沙子或芝麻、黄豆,这类结石容易形成充满型胆囊结石,结石容易掉进胆总管,形成胆总管结石、胆源性胰腺炎。

 

多发胆囊结石


 

胆囊结石掉进胆总管形成胆总管结石

②大结石(以2cm为例):长期刺激胆囊壁,胆囊反复炎症,可能增加胆囊癌的风险。各类结石还可能会造成胆囊颈部嵌顿,阻塞胆囊管,导致胆囊积液、胆囊炎症加重,甚至出现化脓、坏疽、穿孔等。

 

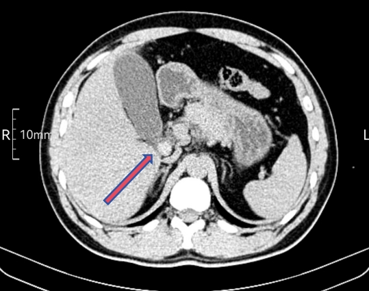
结石嵌顿于胆囊颈部


 

结石嵌顿导致胆囊化脓、坏疽


 

答疑小课堂

1.“医生,胆囊结石手术怎么做?”

答:目前外科治疗首选是“腹腔镜胆囊切除术”,这是一项技术成熟的微创手术,它是在腹壁上做3至4个0.5cm—1cm小切口,或者以脐单孔腹腔镜来进行操作切除胆囊。该手术有创伤较小、恢复较快、疼痛较轻等优点。

2.“可以只取结石不切除胆囊吗?”

答:对于有症状和(或)并发症的胆囊结石,首选胆囊切除术治疗,如果只取结石不切除胆囊,可能会出现结石复发等问题。

3.“胆囊切除术后对消化功能有影响吗?”

答:切除胆囊后,虽然失去了储存和浓缩胆汁的这一器官,但患者能通过胆管代偿,逐渐恢复正常的消化功能。胆汁虽然不能在胆囊中储存,但仍然会持续分泌,并通过胆管进入小肠,帮助消化。手术后,部分患者初期可能会出现一些消化不适,如腹泻或油腻食物消化不良等现象,通常随着时间的推移,患者的消化系统会逐步适应新的生理状态。

 

小结石,大危害;有结石,早诊治。我院肝胆外科以丰富的临床经验为基石,以微创手术治疗为特色,为群众的健康提供强有力的保障。