搜索

新闻中心

医院新闻
首页 > 新闻中心

以技立信 以情暖患

发布日期:2025-07-29 08:21:22
文章来源:影像科     作者:康龙山 吴泓霖     编辑:顾姣     一审一校:顾姣     二审二校:康龙山 宋冰清     三审三校:杨胜丽 屈娟     浏览量:1202

近日,我院影像科收到一封满含真情的感谢信,字里行间,是对科室副主任王俊、医师梁犇精湛医术与暖心服务的由衷赞誉,更生动印证了科室“精准、高效、仁心”的服务理念。

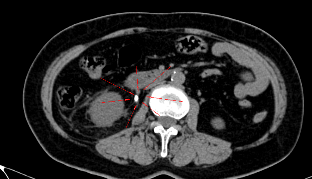
7月7日上午,王女士(化名)因右下腹突发剧痛紧急就诊。怀着焦虑与不安,她到影像科接受腹部CT平扫。检查中,王俊与梁犇共同阅片分析,凭借扎实的专业功底与敏锐洞察,迅速精准锁定病因——右侧输尿管上段结石。这一关键诊断为临床制定治疗方案提供了精准的影像学依据。

王女士在信中特别提及:“梁犇医生检查时耐心细致,病情分析准确到位,让我在病痛中感受到安心与信心。”这正是影像科团队的追求:在提供高水准技术服务的同时,以理解、尊重与人文关怀缓解患者紧张,传递战胜疾病的力量。

目前,王女士的输尿管结石已顺利清除,身体正逐步康复。

来,影像科全体成员将坚守初心,精进技术,优化服务,以“火眼金睛”洞察病灶,用“仁心仁术”温暖患者,为守护人民群众的生命健康,筑牢坚实的影像防线!