近日,我院乳腺甲状腺外科主任、主任医师王民开带领科室团队为患者邓先生实施高难度胸骨后甲状腺肿瘤切除术,成功精准切除11cm胸骨后巨瘤。术后患者恢复良好,现已康复出院。
邓先生双侧的甲状腺肿物突破锁骨向纵膈生长,形成巨大肿块(大小约11.0cm×5.0cm),犹如深埋的“不定时炸弹”,对气管、食管及纵隔大血管造成持续性压迫。
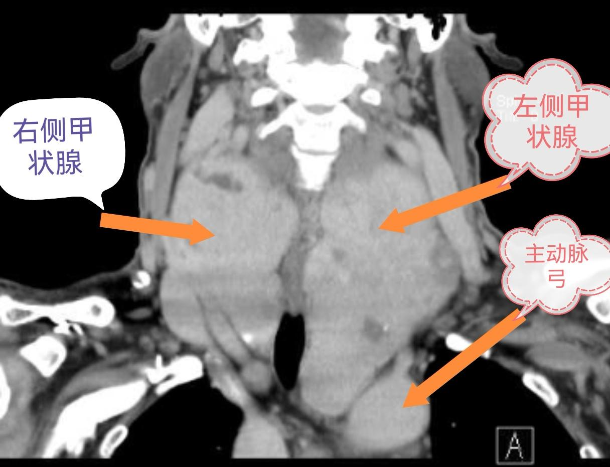
据了解,邓先生一年前发现颈部膨隆,偶有吞咽梗阻感但未重视。随着肿物增大,出现“蛙颈”畸形、夜间呼吸困难(需垫高枕头)、进食有“锁喉感”及平卧时“胸骨上窝凹陷”。增强CT显示肿物下极已达主动脉弓水平,气管被挤压变形成“细腰征”。

因肿物位于颈胸交界处,手术面临三大挑战:1.肿物与喉返神经、甲状旁腺的粘连情况不明;2.纵隔血供丰富,易大出血;3.术后气管塌陷风险较高(约为15%)。
我院启动多学科协作模式,由乳腺甲状腺外科联合麻醉科手术室(实施神经监测气管插管,备胸外科开胸支持),创新采用“颈部低位领式切口”方案。术中见肿物呈“哑铃形”,乳腺甲状腺外科团队运用精细“囊内切除技术”,成功保护双侧喉返神经及甲状旁腺(神经监测信号稳定)。术后患者呼吸顺畅,无声音嘶哑。

术后病理确诊为结节性甲状腺肿伴囊性变。邓先生拔管后感慨:“好像卸下了沉重的枷锁!”术后72小时监测显示,气管最狭窄处由5mm恢复至9mm,甲状旁腺激素水平稳定在正常范围(>28pg/ml)。

该手术的成功开展标志着我院在复杂甲状腺领域实现两大创新:1.建立胸骨后甲状腺肿出血预警机制;2.创新提出“甲状腺——胸外科双主刀”协作模式,为高风险手术保驾护航。
目前,我院已成立多学科协作诊疗模式,积极为患者提供从精准诊断、规范手术到术后康复的“一站式”诊疗服务,充分体现了医院一切以病人为中心的宗旨,为患者的健康筑牢了防线。